36种病理特殊染色方法!
发布时间:2024-10-15
浏览次数:33997
作者:东极药物
每次组织染色都要查一回度娘,染色方法实在是太多了,不同组织的还不一样,现在脑子还是迷迷糊糊的。小编今天整理了结缔组织染色、胶原纤维染色、网状纤维染色、弹性纤维染色、肌肉组织染色、神经组织、骨组织染色和···
每次组织染色都要查一回度娘,染色方法实在是太多了,不同组织的还不一样,现在脑子还是迷迷糊糊的。小编今天整理了结缔组织染色、胶原纤维染色、网状纤维染色、弹性纤维染色、肌肉组织染色、神经组织、骨组织染色和脂肪组织染色的方法,让你看一篇就能醍醐灌顶!
一、结缔组织

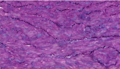
Masson染色
1.Masson三色染色法
用途及原理:称马松染色,经典的结缔组织染色法,用于鉴别胶原纤维和肌纤维。对肝硬化和肝炎导致的纤维增生、肾脏疾病诊断有重要价值。染色原理基于染料分子大小和组织渗透性。淡绿或苯胺蓝分子量大,染色后肌纤维红色,胶原纤维绿色或蓝色,便于区分。
2.Mallory三色染色法
用途及原理:常用于判断组织、器官的病变程度和修复情况。区分肿瘤中的纤维成分,其中胶原和网状纤维显蓝色,软骨、淀粉样变物质显淡蓝色,神经胶质纤维等显红色,随鞘和红细胞显橘红色。染色原理与阴离子染料分子大小和组织的渗透性相关。小分子易穿透致密、低渗透性组织,大分子则进入疏松、高渗透性组织。

Movat五染色法
3.Pollak三色法
用途及原理:结缔组织多色染色法,是Masson三色法的进阶版本,它同时运用媒染剂和促染剂,对结缔组织中的多种成分进行精准区分并染色。该方法可以将胶原纤维、黏液、软骨和神经纤维清晰地染成深蓝色,肌肉和弹性纤维则染成鲜亮的红色,纤维素染成独特的紫红色,细胞核则呈现深邃的蓝黑色。
4.Russell改良Movat五色法
用途及原理:Russell改良Movat五色法以其染色丰富、鲜艳而大受欢迎。该染色法主要用于显示动脉粥样硬化斑块。Weigert苏木素用于染细胞核和弹力纤维,藏红品红用于染细胞质和肌肉纤维,藏红花用于染胶原组织,阿利新蓝用于染基质(蛋白聚糖)。

Weigert间苯二酚法
5.显示胶原、网状和弹性纤维的三联染色法
用逸及原理:该法显示胶原、网状和弹性纤维。维多利亚蓝染弹性纤维为绿,丽春红S染胶原纤维为红,Gomori氨银改良染色液染网状纤维为黑,称三联染色法,肌肉和红细胞呈淡黄色。
此外,有改良Masson三色法、Gomori三色法(纤维染色区分明显),还有针对特定纤维的单一染色液,便于结构观察。
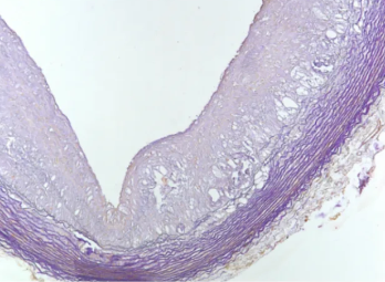
二、胶原纤维

天狼猩红染色
1.Van Gieson(V.G)苦味酸酸性复红法
用途及原理:可以显示组织、器官的损伤、修复及硬化,鉴别肿瘤组织中的胶原纤维与平滑肌纤维,为诊断提供依据。胶原纤维显鲜红色,肌纤维、细胞质和红细胞显黄色,细胞核显蓝褐色。
2.天狼猩红染色法
用途及原理:胶原与酸性染料反应强烈。天狼星红作为强酸性染料,与胶原纤维反应产生双折光现象。染色后胶原纤维显红色,胞核显绿色,其余显黄色。偏光显微镜可分辨4种胶原纤维类型。
三、网状纤维

Gomori氨银染色法
1.Gomori氨银染色法
用途及原理:网状纤维呈黑色,胶原纤维呈红色。鉴别诊断中的应用:①癌和肉瘤的鉴别;②恶性淋巴瘤和组织细胞肉瘤;③血管内皮细胞瘤和外皮细胞瘤;④黏液纤维瘤和黏液肉瘤。
2.Wider染色法
用途及原理:可以用来显示病变组织网状支架的破坏情况。特别是在肿瘤病理诊断中,网状纤维染色对于鉴别来源于上皮组织和间叶组织的恶性肿瘤具有重要价值。

改良Gordon-Sweets法
3.改良Gordon-Sweets法
用途及原理:该技术主要用于组织中网状纤维的组织细胞学染色。网状纤维被染成黑色,胶原纤维为黄色至黄棕色,细胞核红色,细胞质淡黄色。通过氨银液与组织的蛋白质结合,甲醛还原为黑色或棕果色的金属银,沉积在组织内外。
网状纤维在疏松结缔组织中含量少、纤维细、有分支,交织成网状。可用浸银法染成黑色,又称嗜银纤维。染色方法多样,除了Gomori氨银法、Wider染色法、Gordon-Sweets,还有James法、Foot法、Lillie法等。
四、弹性纤维

Gomori醛品红法
1.Gomori醛品红法
用途及原理:Gomorl法能明确展示血管壁的层次结构,特别是其内、中、外层的弹力膜。醛品红对特定蛋白质和黏多糖有高度亲和力,能很好地结合弹力纤维,并同时显示肥大细胞颗粒、脂褐素、嗜酸性细胞等。它能将弹性纤维染成深浅不一的紫色,黏液呈现紫色,而背景则呈现出不同程度的黄色。
2.Weigert法
用途及原理:适用于所有动物组织石蜡切片,弹力纤维(对较细的弹力纤维尤其适用)。弹力纤维呈紫红色,胶原纤维呈红色,背景其他成分呈黄色。
3.维多利亚蓝法
用途及原理:适用于各种组织、石蜡切片、观察弹力纤维。弹力纤维呈蓝色,细胞核呈红色。
弹性纤维染色用氧化法展示皮肤纤维变化,评估心内膜和血管病变。除Gomori醛品红、Weigert、维多利亚蓝等方法外,还有双重组合染色法,如Weigert间苯二酚、伊红-醛复红、维多利亚蓝-丽春红S法。
五、肌肉组织

PTAH自然氧化法
PTAH自然氧化法
用途及原理:又称Mallory氏磷钨酸苏木素染色法,常用于平滑肌染色,尤其显示横纹肌横纹。可鉴别横纹肌肉瘤与未分化间胚叶肿瘤,发现蓝色横纹证明横纹肌分化。还可染色炎症渗出的纤维素、DIC毛细血管纤维素及神经病理等。胞核、纤维、肌肉等呈蓝色,胶原、网状纤维等呈黄色或玫瑰红色。
PTAH染色法专用于横纹肌的区分,能够明确区分心肌和骨胳肌,并能直观观察肌纤维的病理变化,包括变性坏死与修复过程。此外,Masson和Uan Gieson染色法也是横纹肌染色的有效方法。对于早期心肌病变的染色,Nagar-0lsen染色法是一个不错的选择,而Poley法则更适用于显示缺氧心肌的病理特征。
六、神经组织
神经组织包含中枢神经和周围神经两部分,主要由神经细胞、神经胶质细胞以及神经纤维组成。常用特殊染色显示和观察神经组织中的尼氏小体、神经元神经纤维、弱鞘和胶质细胞。
尼氏小体染色
常用焦油紫法、硫革法、甲苯胺蓝法进行染色。此外,还有Einarson格酸青蓝和天竺牡丹染色法等。
1.焦油紫法
尼氏体若紫红色;胶质细胞淡紫色;背景近乎无色
2.甲苯胺蓝法
尼氏体着淡蓝色;细胞核深蓝色;背景无色
3.Einarson格酸青蓝染色法
尼氏体黑蓝-紫色;核蓝色;背景浅灰色
神经元和神经纤维染色
1.Holmes神经纤维染色法
神经纤维黑色;背景灰紫色
2.Bielschowsky神经纤维染色法
神经纤维黑色;背景紫色
3.Von Braunmubl神经纤维、扣结、老年斑染色法
神经纤维黑色;老年斑黑色;背景浅灰色
4.Eager退变神经纤维染色法
退变神经纤维黑色;背景浅棕色
神经髓鞘染色
1.Weigert-Pal髓鞘染色法髓鞘黑蓝色;背景淡灰色
2.Weil髓鞘染色法
髓鞘蓝黑色;背景淡灰色
3.Kultshitzky能鞘染色法
髓鞘蓝黑色;背景淡黄色
4.Luxol fast blue髓鞘染色法
髓鞘蓝色;核仁紫色;尼氏体紫色
5.变色酸2R-亮绿髓鞘染色法
髓鞘深红色;轴索和间质绿色;脱储鞘纤维不着色
6.Marchi退变髓鞘染色法
退变髓鞘黑色;背景浅棕色
神经胶质细胞染色方法
1. Cajal星形细胞染色方法(冷冻切片法)
紫黑色:原浆性及纤维性星形细胞
2. Naoumenko和Feigin改良的Cajal染色方法(石蜡切片法)
黑紫色:星形细胞;粉红色:背景
3. Weil及Davenport小胶质细胞及少突胶质细胞染色方法
黑色:神经胶质细胞、少突胶质细胞;黄棕色:背景
4. Naou menko及Feigin小胶质细胞石蜡切片染色方法
黑色:小胶质细胞,灰色:背景
七、骨组织

改良番红0-固绿法
1.改良番红0-固绿法
用途及原理:利用嗜碱性的软骨与碱性染料番红O结合后呈现红色,而酸性的骨组织与酸性染料固绿结合后呈现绿色或蓝色。通过与呈现红色的软骨形成对比,可以清晰区分软骨组织和骨组织。
2.茜素红S法
用途及原理:这些钙结节,从而判断干细胞是否成功分化为成骨细胞。茜素红能与碳酸钙或磷酸钙的钙盐蝥合形成橙红色复合物。干细胞分化为成骨细胞时,细胞表面会形成钙结节。茜索红S染色可显示这些结节,用于判断干细胞是否分化为成骨细胞。
八、脂肪组织

苏丹川染色
1.苏丹Ⅲ染色
用途及原理:苏丹(Sudan)Ⅲ,最早使用的脂肪染料,具有脂溶性,易穿过细胞膜进入脂肪细胞内与脂肪反应显橘黄色。脂肪呈橘黄色或鲜红色,脂肪酸不着色,细胞核呈蓝色。一般用于确定胞浆内空泡是脂滴、糖原还是水变性。
2.苏丹IV染色
用途及原理:苏丹IV又名猩红,是苏丹Ⅲ的衍生物,可将脂肪染成红色,也能将角质化的细胞壁及脂肪、挥发油等染成红色。脂肪呈猩红色,比苏丹Ⅲ更为清晰。
3. 油红0染色法

油红0染色
用途及原理:油红0染色法用于检测组织或细胞中脂肪油滴,特别适用于脂质代谢疾病研究。通过溶液或吸附作用,使脂肪染色。染料在冰冻切片内脂质中溶解度大,从而染色脂肪。中性脂肪呈橘红色,细胞核呈蓝色。
文章出自:细胞实验外包 想了解更多请关注:http://www.dj-cro.com/













